At DentSpa, Istanbul’s leading aesthetic dental clinic, we specialize in smile-enhancing treatments like Gum Depigmentation—where advanced technology, artistic precision, and patient comfort come together to gently transform dark or uneven gums into a healthier, naturally pink appearance.

Recently honored with the European Award in Medicine 2024, DentSpa has been officially recognized as Europe’s Best Dental Clinic. Our internationally trained cosmetic specialists, combined with cutting-edge laser technology, digital smile analysis, and minimally invasive techniques, allow us to deliver stunning, safe, and lasting esthetic improvements for patients from around the world.
If you’re considering a cosmetic touch to perfect your smile, DentSpa’s gum depigmentation offers a fast, comfortable, and highly effective way to achieve a more youthful, radiant appearance.
At DentSpa, cosmetic dentistry isn’t just about teeth—it’s about harmony, balance, confidence, and helping you Smile & Relax.
🧩 Our Advanced Gum Esthetic Solutions
We offer a range of soft tissue esthetic enhancements tailored to help you achieve a naturally beautiful, healthy-looking smile.
🎨 Gum Depigmentation – Per Tooth
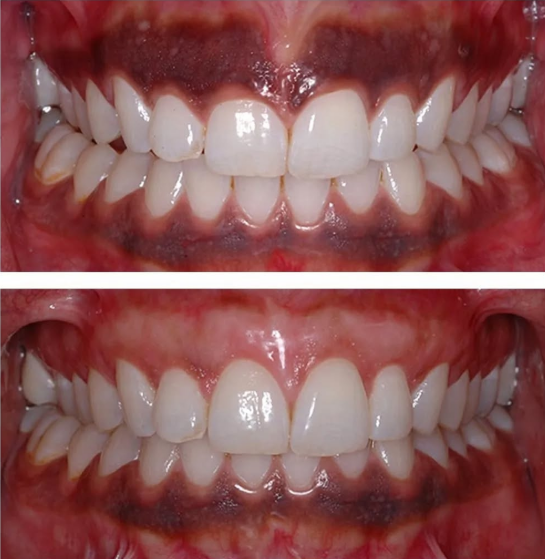
Gum depigmentation (also called gum bleaching) is a minimally invasive cosmetic procedure that removes or lightens excess melanin or pigmentation from the gum tissues.
Dark, blotchy, or uneven gum coloring can occur naturally due to genetics, ethnic background, medications, or lifestyle factors like smoking.
At DentSpa, we use advanced laser and microsurgical techniques to gently lift excess pigmentation, revealing smooth, pink, healthy-looking gums—often in just a single session.
✅ Safe, quick, and minimally invasive treatment
✅ Brightens and evens out gum color
✅ Immediate improvement in smile esthetics
✅ Boosts confidence for a fresher, more youthful look
✅ Performed with precision, artistry, and spa-level comfort
✨ Why Travel to DentSpa for Gum Depigmentation Treatment?
🌍 Tailored for International Patients – From virtual consults to full travel support, we make the journey seamless.
🎓 Highly Qualified Team – All DentSpa’s dentists are PhDs in their respective fields of specialization.
🏆 Award-Winning Care – Chosen as Europe’s best dental clinic, trusted by patients worldwide.
🌿 “Smile & Relax” Philosophy – We combine medical excellence with total patient comfort.
🔬 High-Precision Technology – Digital scanning, 3D simulations, and CAD/CAM systems for flawless fit and same-day results.
💎 World-Class Materials – From budget-friendly to ultra-luxury crown options (including certified gold and diamond).
🛡️ Transparent Pricing & Treatment Plans – No surprises. Every patient receives a clear, customized treatment plan with upfront costs and timeline expectations.

🛫 A Destination Worth the Journey
Patients from around the world choose DentSpa for its unmatched combination of luxury cosmetic dentistry, award-winning care, and exceptional value. While cosmetic gum treatments like depigmentation can cost $2,000 to $5,000+ in the U.S., DentSpa offers the same world-class technology, precision, and artistry for a fraction of the price—without compromising comfort, safety, or esthetic outcomes.
It’s not just more affordable—it’s a truly elevated cosmetic experience, where every detail is designed to help you Smile & Relax while unveiling your brightest, most beautiful smile.

🩺 How the Gum Depigmentation Process Works at DentSpa
- Smile Analysis and Digital Planning
We begin with a full digital assessment of your gums using intraoral scanning and high-resolution photography to evaluate pigmentation patterns and plan a customized treatment. - Comfort-First Approach
The area is numbed with local anesthesia to ensure complete comfort during the procedure. - Precise Pigmentation Removal
Using laser technology or gentle microsurgical instruments, the pigmented areas are carefully removed or lightened, exposing the lighter, healthier tissue beneath. - Healing and Recovery
Healing is usually rapid—most patients resume normal activities within a day or two, with visible improvements appearing almost immediately.
✨ Who Is a Good Candidate for Gum Depigmentation?
- Individuals with naturally dark or unevenly pigmented gums.
- Patients who want a more uniform, lighter gum color to complement whitening, veneers, or full smile makeovers.
- Anyone looking to refresh their smile esthetics without major surgery.
- Healthy individuals without active gum disease.
📚 Interesting Facts About Gum Depigmentation at DentSpa
DentSpa’s use of digital planning ensures a perfectly balanced and natural-looking result.
Laser gum depigmentation is extremely precise, reducing the risk of over-treatment and promoting quicker healing.
In many cases, just one session can achieve dramatic improvements that last for years.
Gum pigmentation is purely esthetic and harmless—treatment is optional and based on personal preference.
🏛️ Welcome to DentSpa – Istanbul’s Premier Dental & Wellness Destination
Step into DentSpa, where dentistry meets tranquility. Located in the heart of Şişli – Fulya, one of Istanbul’s most vibrant and accessible neighborhoods, our clinic sets the standard for premium dental care in Turkey and across Europe.
With a 4.8-star rating on Google based on over 2400 reviews, patients consistently praise DentSpa’s professionalism, results, and warm hospitality. Whether you’re coming from across the city or across the globe, your smile is in expert hands.
✨ Inside the DentSpa Experience
- 🦷 Award-Winning Clinic Design
Modern, pristine, and fully digital, DentSpa offers a calming, spa-like atmosphere that puts even the most anxious patients at ease. - ☕ Café Lounge & Welcome Suite
Relax with a cup of herbal tea or an espresso in our chic lounge while you wait for your consultation. - 💆♀️ Spa-Level Comfort
From aromatherapy and ergonomic chairs to private recovery rooms, every touchpoint is designed to soothe. - 🛠️ Leading-Edge Technology
DentSpa is equipped with 3D scanners, CAD/CAM mills, CBCT imaging, and guided implant surgery tools for precision and speed. - 🧑⚕️ Elite Dental Team
Our specialists have trained in top institutions across Europe and North America. All of our dentists are PhDs in their respective fields of specialization. Whether you’re here for veneers, crowns, implants, or full smile design—you’re in expert hands. - 🌐 Multilingual Staff
English-speaking coordinators are always available to guide you, ensuring your visit is smooth and stress-free from arrival to final results.
🏆 Global Recognition
In 2024, DentSpa was awarded the European Award in Medicine for Excellence in Dental Health, setting a new standard in aesthetic and restorative dentistry.
🌍 Designed for International Patients
From airport pickup to hotel partnerships, our concierge team takes care of everything. Patients from over 30 countries trust DentSpa for treatments that are faster, safer, and more affordable than back home.
Smile & Relax — at DentSpa, world-class dentistry is only the beginning.
Why Choose DentSpa for Your Dental Procedures?
- ✅ Top-tier Technology – Equipped with cutting-edge imaging, CAD/CAM systems, and laser dentistry tools.
- 🧠 Elite Specialists – A handpicked team of internationally trained cosmetic dentists and oral surgeons.
- 💎 Spa-like Environment – A unique blend of healthcare and hospitality, where comfort meets clinical precision.
- 📍 Prime Location – Conveniently situated in Istanbul’s elite district, close to luxury hotels and city attractions.
- 🛡️ Sterility & Safety – Exceeds international standards for infection control and patient safety.
- 🌿 Smile & Relax – While you wait, or after your procedure, enjoy a drink from DentSpa's cafe, have a massage or simply unwind in a dark room.
Get Personalized Help With Your Procedure Abroad
Our team is here to support you every step of the way. Share your details below and we’ll connect you with the right specialists, answer your questions, and help arrange a smooth, stress-free experience abroad.




















